牙齦整形
陶瓷貼片
台北植牙/陶瓷貼片推薦診所
想擁有藝人那樣晶亮白的牙齒,加上微V完美微笑曲線嗎?雅偲牙醫將依據個人的臉型、需求,提供最適宜的治療計劃,你也能像她們一樣美!
媒體報導
想擁有藝人那樣晶亮白的牙齒,加上微V完美微笑曲線嗎?雅偲牙醫將依據個人的臉型、需求,提供最適宜的治療計劃,你也能像她們一樣美!
治療項目
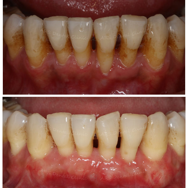
水雷射牙周治療
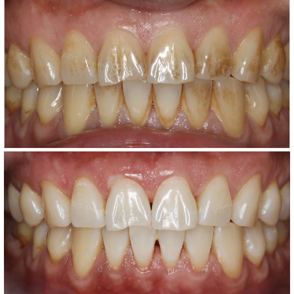
數位全瓷美學
完整豐富的治療案例與臨床經驗
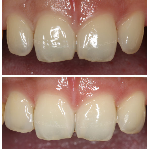
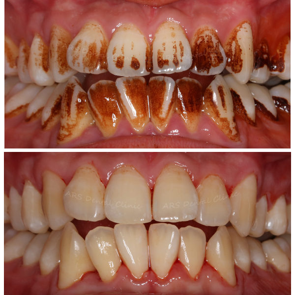
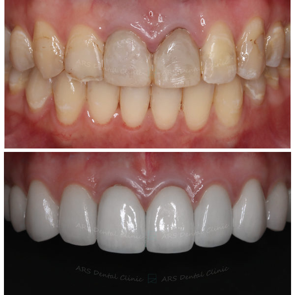
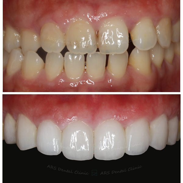
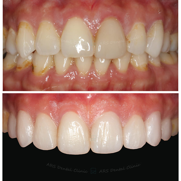
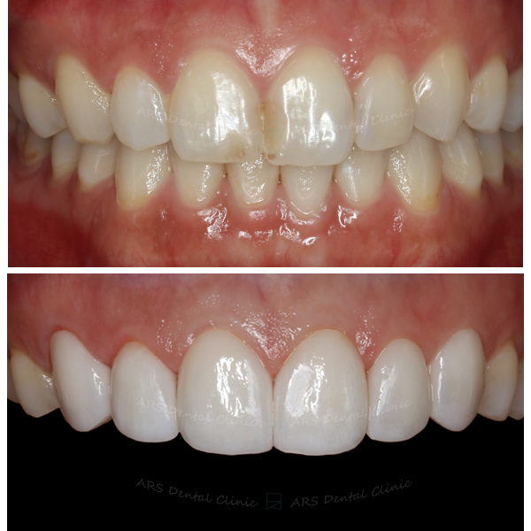
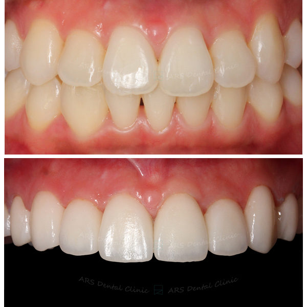
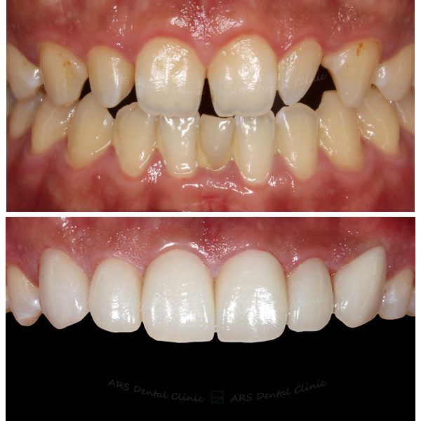
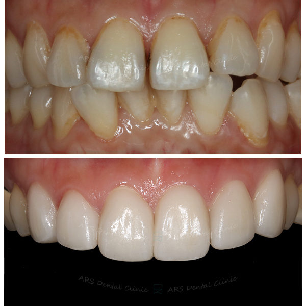
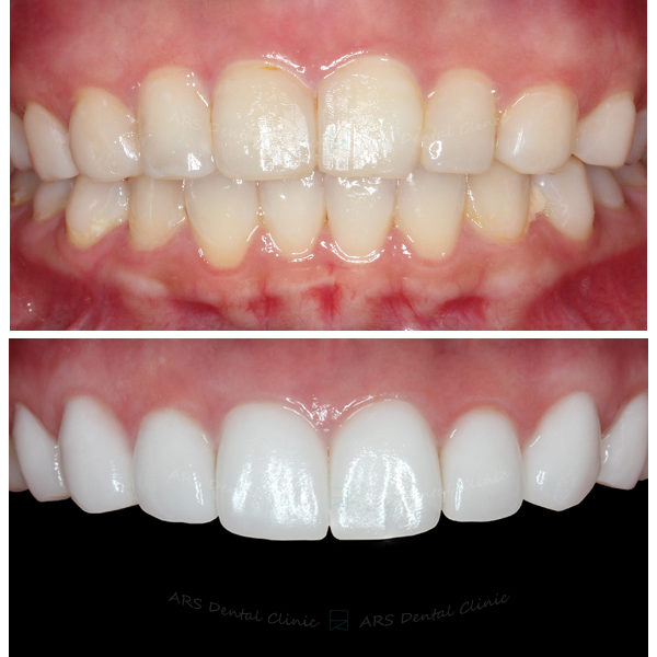
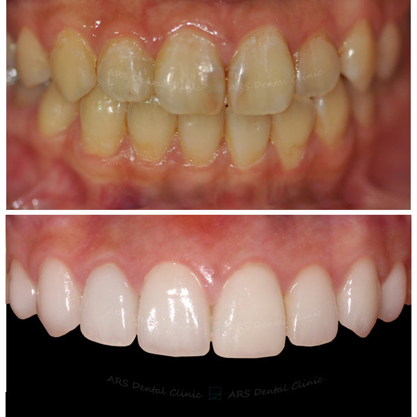
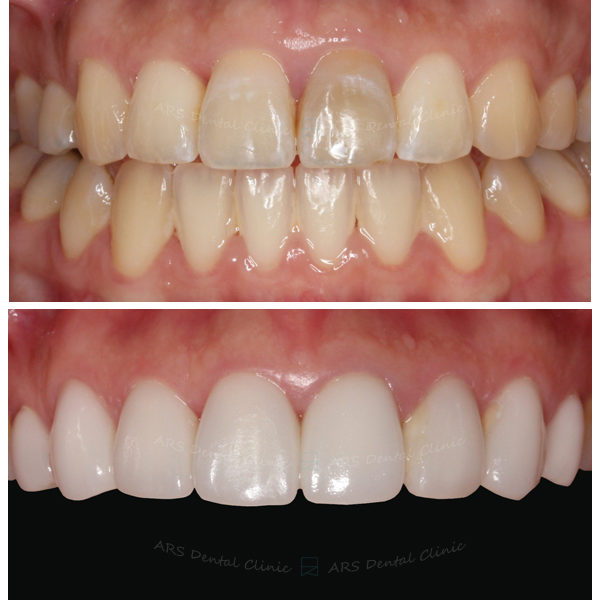
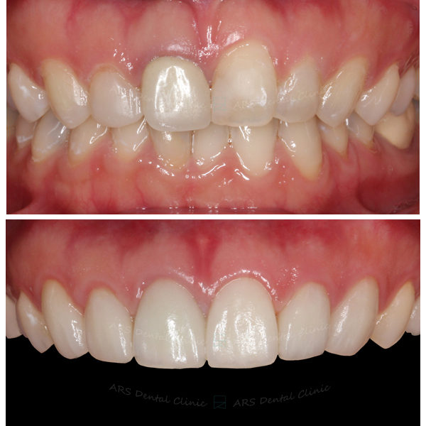
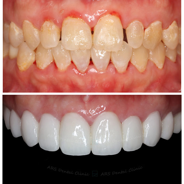
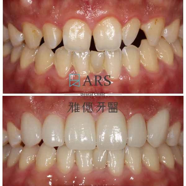
【全瓷冠+陶瓷貼片+水雷射牙冠增長術】 案例4 – 鄭聖達醫師、蔡昀蓉醫師聯合主治
水雷射牙冠增長術#14-#24 全瓷冠+陶瓷貼片#14-#24 (實際成效 因人而異 請諮詢專業醫師)
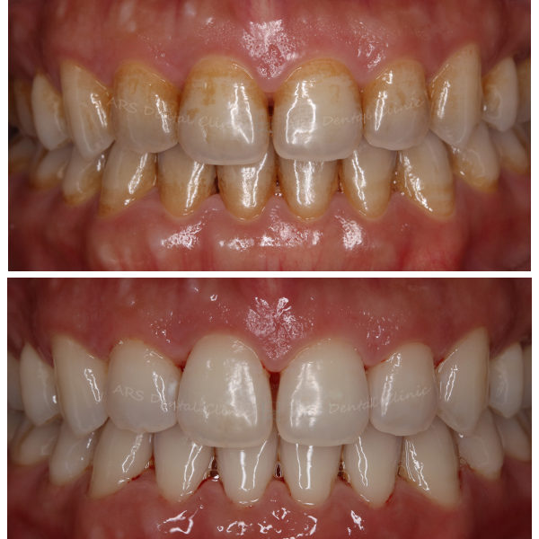
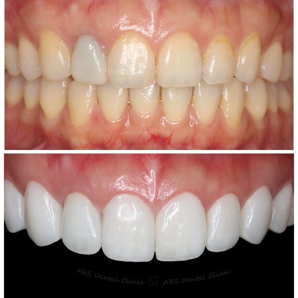
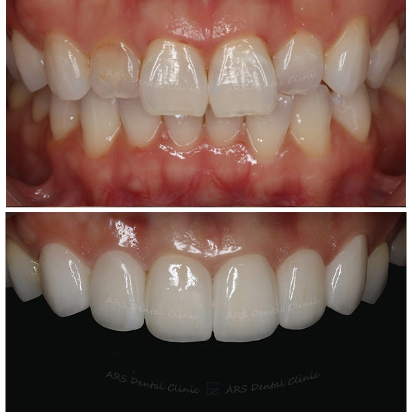
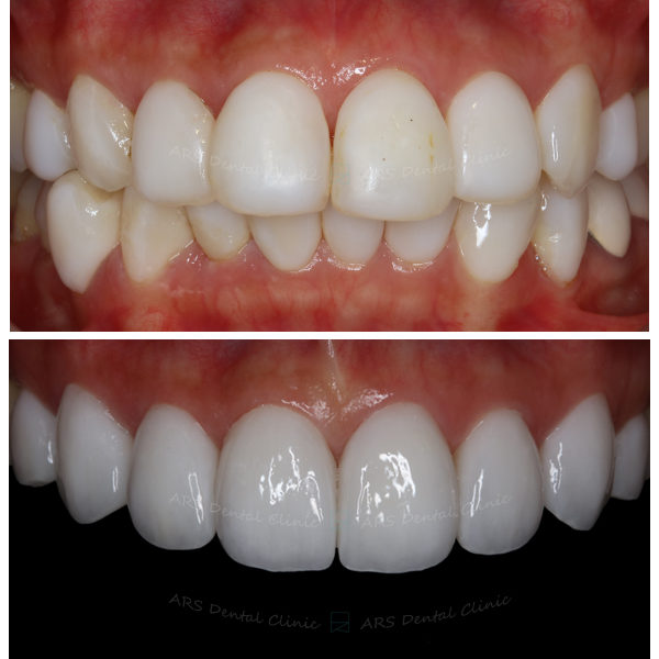
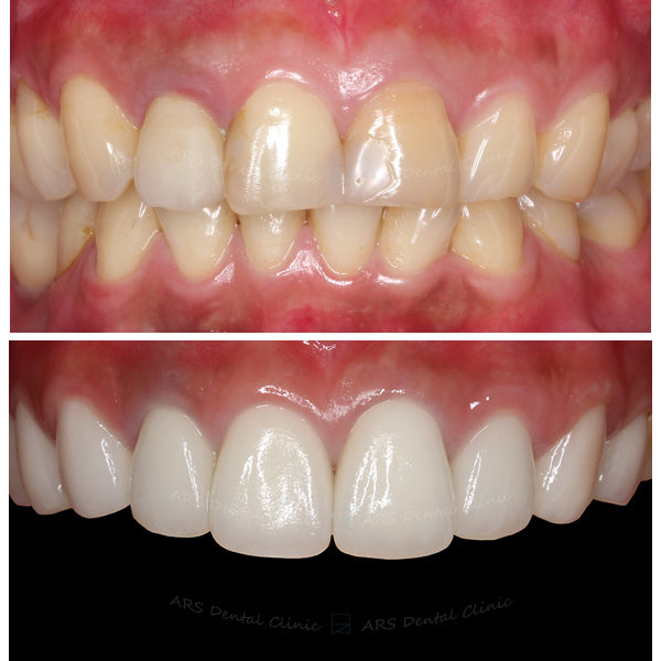
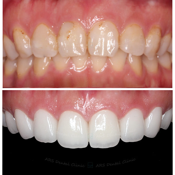
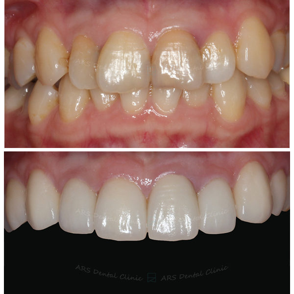
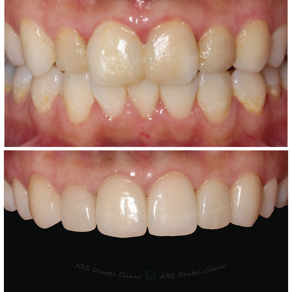
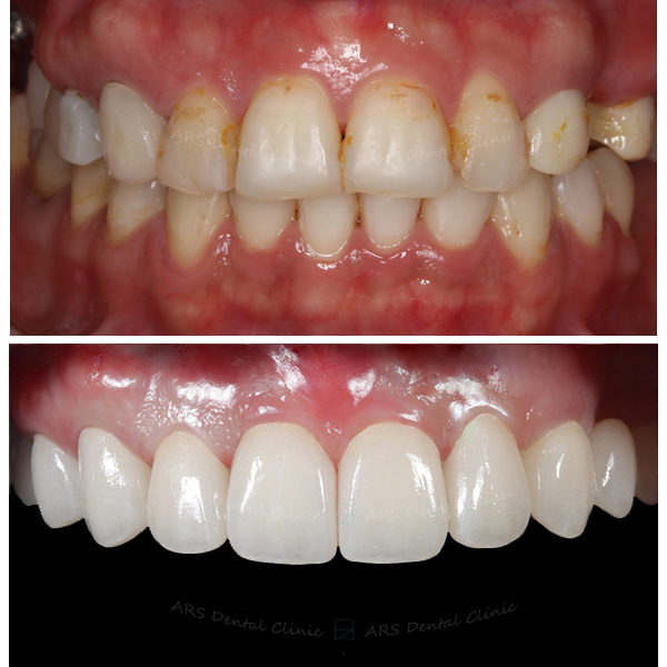
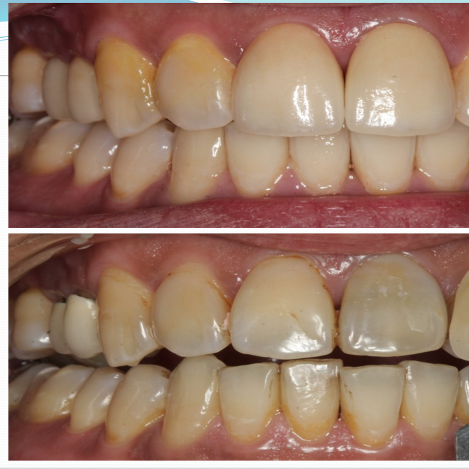
【全瓷冠+陶瓷貼片+水雷射牙冠增長術】 案例3 – 鄭聖達醫師、蔡昀蓉醫師聯合主治
水雷射牙冠增長術#14-#24 全瓷冠+陶瓷貼片#13-#23 (實際成效 因人而異 請諮詢專業醫師)
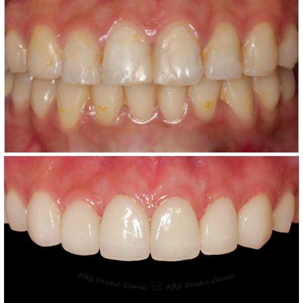
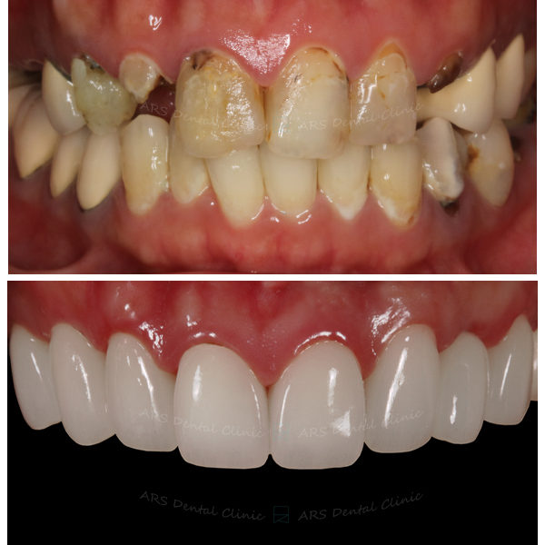
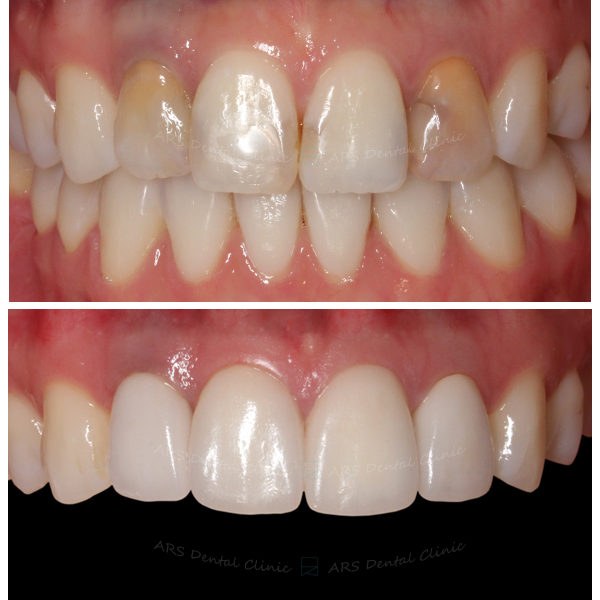
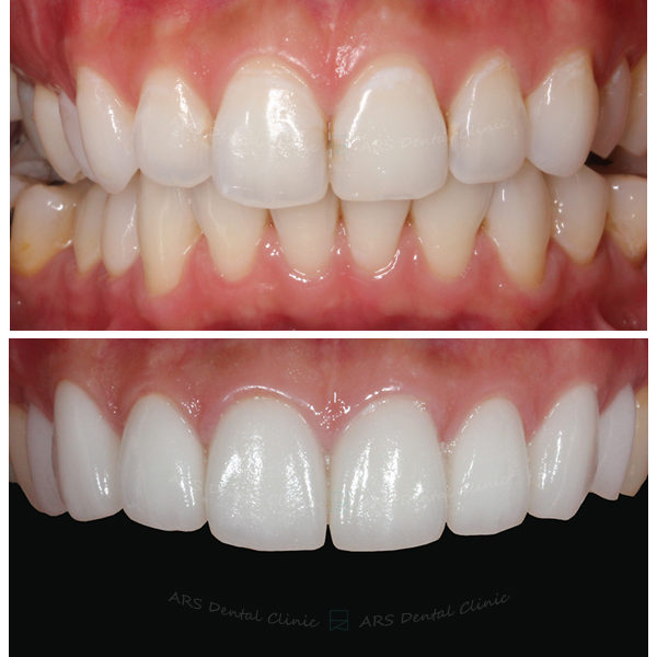
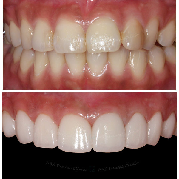
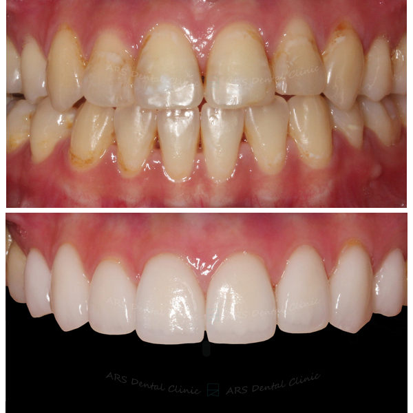
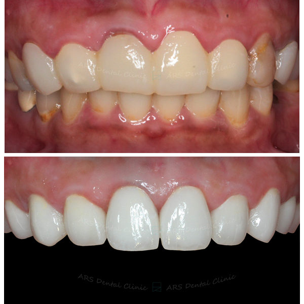
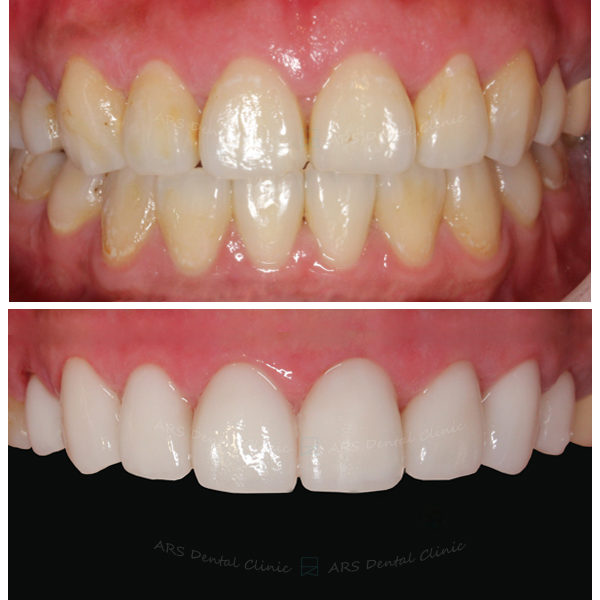
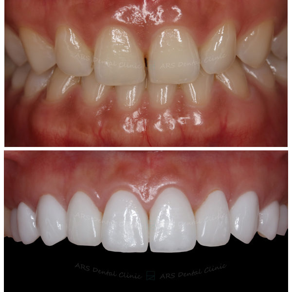
【全瓷冠+陶瓷貼片+水雷射牙冠增長術】 案例2 – 鄭聖達醫師、蔡昀蓉醫師聯合主治
水雷射牙冠增長術#14-#24 全瓷冠+陶瓷貼片#13-#23 (實際成效 因人而異 請諮詢專業醫師)
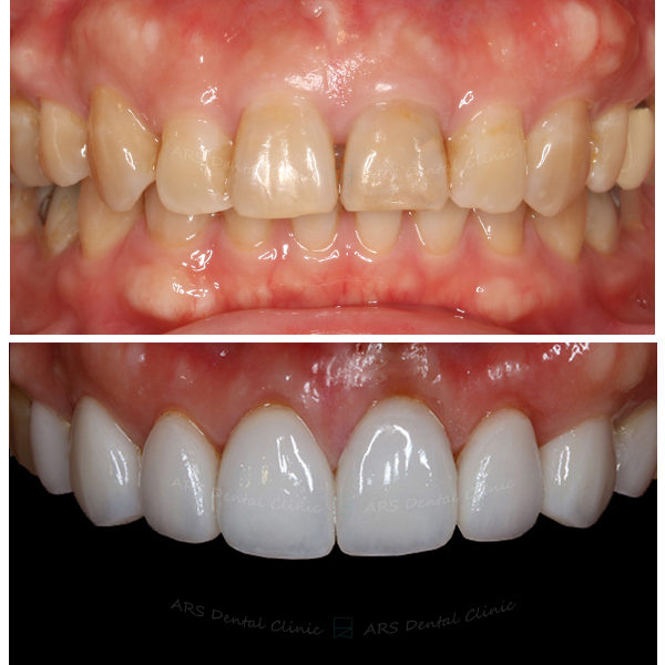
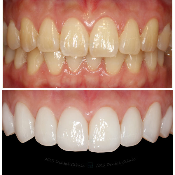
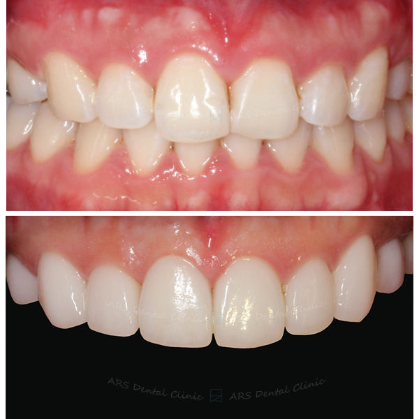
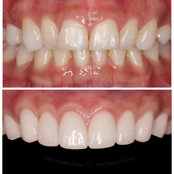
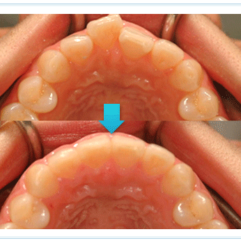
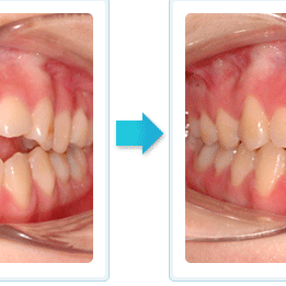
【全瓷冠+水雷射牙冠增長術】 案例6 – 鄭聖達醫師、蔡昀蓉醫師聯合主治
水雷射牙冠增長術#14#12#11-#21-#24 全瓷冠#14-#24 (原本無#13 將#14做成#13)…
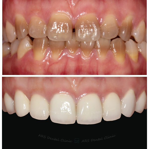
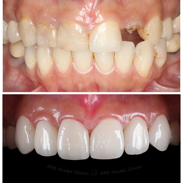
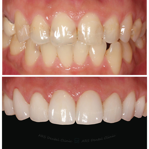
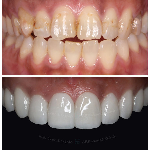
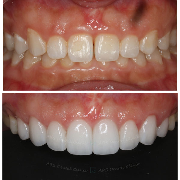
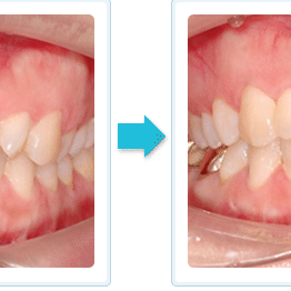
【全瓷冠+陶瓷貼片+水雷射牙冠增長術】 案例5 – 鄭聖達醫師
水雷射牙冠增長術#14-#24 全瓷冠+陶瓷貼片#15-#25+#35-#45 (實際成效 因人而異 請諮詢專…
【全瓷冠+陶瓷貼片+水雷射牙冠增長術】 案例4 – 鄭聖達醫師
水雷射牙冠增長術#15#14#13#11+#21#23#24#25 全瓷冠+陶瓷貼片#15-#25 (實際成效…
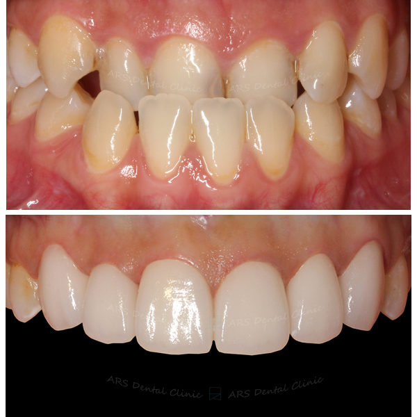
【全瓷冠+陶瓷貼片+水雷射牙冠增長術】 案例1 – 蔡昀蓉醫師
水雷射牙冠增長術#14-#24 全瓷冠+陶瓷貼片#17-#27+#37-$47 (實際成效 因人而異 請諮詢專…
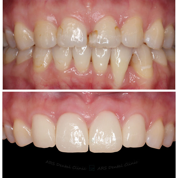
【陶瓷貼片+水雷射牙冠增長術】 案例1 – 鄭聖達醫師、蔡昀蓉醫師聯合主治
水雷射牙冠增長術#13-#23 陶瓷貼片#13-#23 (實際成效 因人而異 請諮詢專業醫師)
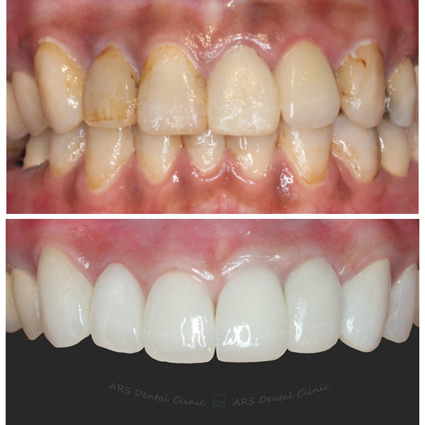
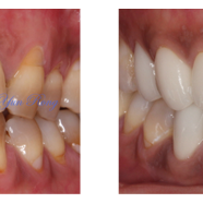
【陶瓷貼片+水雷射牙冠增長術】 案例1 – 蔡昀蓉醫師、陳映瑜醫師聯合主治
水雷射牙冠增長術#13-#23 陶瓷貼片#12-#22 (實際成效 因人而異 請諮詢專業醫師)
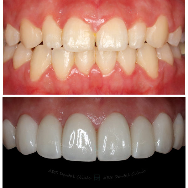
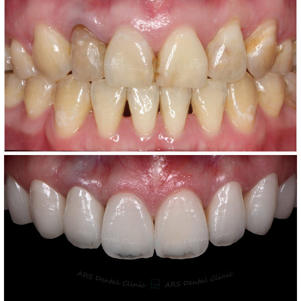
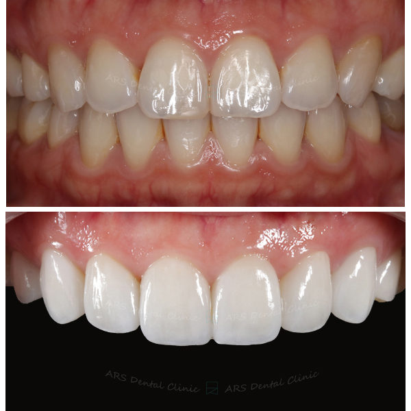
【全瓷冠+陶瓷貼片+水雷射牙冠增長術】 案例1 – 鄭聖達醫師、蔡昀蓉醫師聯合主治
水雷射牙冠增長術#14-#24 全瓷冠+陶瓷貼片#14-#24+#34-#44 (實際成效 因人而異 請諮詢專…
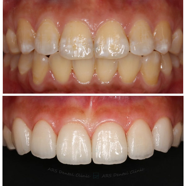
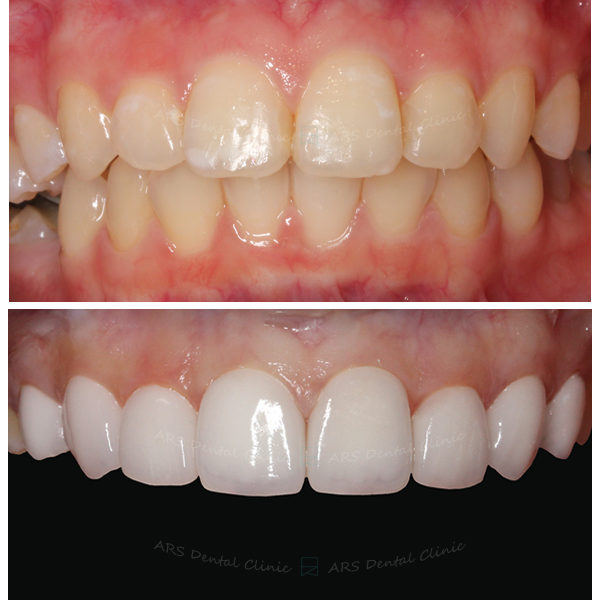
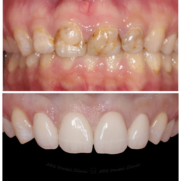
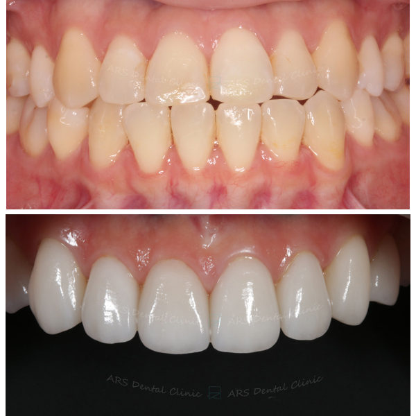
【全瓷冠+陶瓷貼片+水雷射牙冠增長術】 案例3 – 鄭聖達醫師
全瓷冠+陶瓷貼片#14-#24+#34-#44+水雷射牙冠增長術#14-#24 (實際成效 因人而異 請諮詢專…
【全瓷冠+陶瓷貼片+水雷射牙冠增長術】 案例1 – 蔡昀蓉醫師、陳映瑜醫師聯合主治
水雷射牙冠增長術#14-#24 全瓷冠+陶瓷貼片#13-#23 (實際成效 因人而異 請諮詢專業醫師)
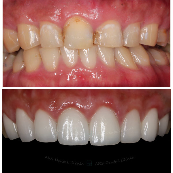
【全瓷冠+陶瓷貼片+水雷射牙冠增長術】 案例1 – 鄭聖達醫師
水雷射牙冠增長術#13-#23+#34-#44陶瓷貼片+全瓷冠#13-#23+#33-#43 (實際成效 因人…



















































































































































































































































